
شاركت التدريسيتان في قسم علوم الحياة في كلية التربية للعلوم الصرفة (ابن الهيثم) م. اسيل فؤاد الحسيني و أ.م.د. اسراء كريم نصرالله في اعمال المؤتمر الدولي الرابع عشر للعلوم الزراعية والاحيائية والبيئية والطبية المنعقد في البرتغال

(14th. LISBON International Conference on Agricultural, Biological, Environmental and Medical Sciences (LABEMS-18)
ببحثها الموسوم :
دراسة تشريحية للنوع Ipomoea carnea Jacq. (Convolvulaceae) في العراق
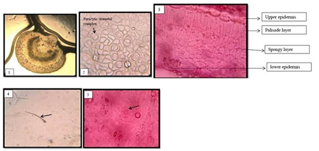
حيث تضمن هذا البحث جمع عينات طرية للنوع Ipomoea carbea Jaca. ودرست الخصائص التشريحية للورقة التي تضمنت المقطع العمودي للورقة والمقطع المستعرض للسويق Petiole وصفات البشرة السطحية والمقطع المستعرض للحويمل Pedicel والكساء السطحي لهم فضلاً عن دراسة التعرق للورقة Leaf venation.
Anatomical study of species Ipomoea carnea Jacq. (Convolvulaceae) in Iraq
Lecture Aseel Fouad AL-Hussaini and Asses. Prof. Dr. Israa Kareem Nasrullah
Department of Biology, College of Education for Pure Science (Ibn Al-Haitham), University of Baghdad
ABSTRACT
The current study included the collection of soft samples for Ipomoea carnea Jacq. The anatomical properties of the leaf, which included the characteristics of the surface epidermis, the vertical section of the leaf, the transverse section of the petiole, the pedicel and the indumentum, as well as the study of leaf venation, were examined.
الموضوع السابق
2019-02-12
الموضوع اللاحق
2019-02-12